高山症案例
陳先生是我非常要好的國中同學,2016年10月20日與好友相約至中國雲南省麗江(海拔2,416公尺)旅遊,下午到壯麗的高原湖泊瀘沽湖(海拔2,685公尺)遊湖近3小時,晚餐應酬酒酣耳熱下飲白酒200毫升(酒精含量50%)。當天從早到晚近22小時未休息,晚上回到客房欲休息時,驚覺頭痛欲裂,痛不欲生,痛到必須連續撞頭,然後把頭頂在牆壁上,方能緩解一下。因為持續的頭痛,把隨身帶的阿斯匹林20幾顆全部吃完,仍無法減輕頭痛。
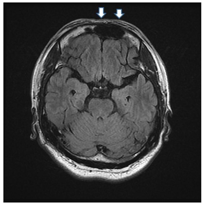
折騰一晚,隔天才接受氧氣治療,並吃了一些藥,雖症狀稍緩解,但仍是相當不舒服,一直到回到台灣,持續的頭暈頭痛才停止。但是因為仍然是間歇性頭痛,所以趕緊到永和耕莘醫院就診。想不到腦部核磁共振(MRI)檢查竟發現在顱內右前額葉有2X3公分大小的血塊(圖四、血塊如白色箭頭裡的黑色腫塊),後來繼續觀察了兩個月,在萬芳醫院追蹤的MRI檢查發現血塊終於消失了,間歇性頭痛才不再發生。


圖四:追蹤的MRI檢查發現血塊終於消失了,間歇性頭痛才不再發生。
案例的解讀:
陳先生其頭痛是因高山症所致,但因為頭痛難挨,連續撞擊頭部,再加上服用阿斯匹林過量,造成顱內局部出血導致其二度傷害。因為並非腫瘤,也非血管病變,其平常並無危險因子,例如高血壓、糖尿病、高血脂症,所以經過兩個月的追蹤,其腦部血塊完全恢復。此案例告訴我們高山症是常發生的,只要到海拔7,000-8,000英尺以上之中高海拔,就有可能發生。發生時,要盡速就醫,不能隨便過量服用止痛藥,尤其是阿斯匹林。喝酒跟過度勞累皆會促發高山症,登高山時飲食生活習慣皆須小心,豈可不慎
高海拔環境 缺氧飲食
黃帝内經指出:冬天季節要求取溫暖、避開寒冷,飲食生活習慣,皆應如此,簡而言之就是要「冬藏」,才能保護自己免於受到寒冬的傷害。關於高海拔登山時的飲食該怎麼調整呢?我們在做登山研究時必須特別準備的食物,原則上必須先了解在高海拔缺氧狀況時,我們人體的生理需求的改變。


蘇大成醫師提供民眾參考的補氣虛食物表
「高海拔缺氧狀況,人體的生理需求改變」:
1. 基礎代謝增高:能量消耗大於平地,熱能需要量高於海平面,冬季笨重防寒服熱能消耗增加。冬季增加1/3,而夏季增加1/5的碳水化合物。蛋白質可占總熱量1/3,必須增加動物性蛋白質的攝取。(圖四及五)
2. 蛋白質分解代謝增高:如果含氮食物不足、尿氮排出增加、出現負氮平衡。體內蛋白質合成量小於分解量,慢性消耗性疾病,組織創傷,饑餓屬之。熱量及營養之補充,所謂的補氣虛之食物,在高海拔登山,尤其是冬天時,是特別重要,絕對不要輕忽。(圖五及六)
3. 消化功能下降且胃張力降低:胃酸度和胃蛋白酶活性降低,饑餓收縮減少,進食後胃蠕動減弱、胃排空時間延長、消化液分泌量減少食慾減退。噁心、嘔吐、腹脹、腹痛腹瀉。所以需多食蛋黄、牛奶、大豆、芝麻酱。同時補充消脹氣食物,例如陳皮、金橘、佛手柑以防脹氣。
4. 缺氧導致鉀鈉流失:高海拔空氣較乾燥,導致失水量較多。然而需控制飲水的數量防止肺水腫,日飲水3~4升促進代謝物排出。少尿者應限制鈉攝入量,白天活動多飲水,夜間不多飲水,以免增加心臟負擔。補充鉀鹽並限制鈉的攝入量,多食穀類、薯類、豆類、蜂蜜、牛奶,以增加動脈血氧量。
5. 缺氧導致血糖降低:糖原分解代謝增高,糖質新生作用減弱,糖原減少,需增加高碳水化合物攝食。
6. 缺氧導致維生素B1、B2、菸鹼酸代謝加速:需補充。
7. 缺氧導致呼吸加強又加快。
8. 缺氧導致血紅蛋白增加:鐵的需要量增加,補充維生素C,促進鐵吸收。
9. 維生素C缺乏:導致食欲下降,疲乏無力、傷口癒合延遲、牙齦出血。
10. 盡量控制飲酒量:酒有許多生理效應,酒精可以促進循環及取暖之用。飲酒可使心跳加快,呼吸加深加快。交感神經亢奮,血壓上升、心律變異性降低。會加重心血管之負擔,促發心血管疾病,所以只能適量。若有喝酒,可以適度補充落花生、葡萄等食物,可以協助解酒。
11. 寒冷天氣使人對體內蛋氨酸(L-Methionine)需求增大:
蛋氨酸屬於必需胺基酸,人體無法自行合成製造,須由食物中攝取。
蛋氨酸可經轉移作用,提供適應寒冷所必需的甲基。
雞蛋清含蛋氨酸最多、雞胸脯、火雞皆含較高含量。
金槍魚、鱈魚、黑線鱈、翻車魚、乳酪類、及海藻,其蛋氨酸含量高。


圖六:魚類肉類攝取量會依性別及工作差異與季節等而有所不同
「春雨、夏露、秋霜、冬雪」而有疾
氣候醫學是很重要的,是疾病的根源。所謂的「春雨、夏露、秋霜、冬雪」而有疾,「疾」是疾病從天上來,天上一撇加上疒,此之謂也。而「病」則是「一」加上「內」是,「一」是從東到西(食物),「內」則是一個「人 」進入「门」,指的是把東西吃下去,「疒」是人有病痛而倚靠休養的樣子。如果沒辦法消化吸收代謝,就是病從口入(圖七)。 意即是疾病從天上來,疾病從食物來。這個解釋告訴我們,就是發生疾病的根本原因,就在字意裏說明了。


圖七:如果沒辦法消化吸收代謝,就是病從口入
氣壓低缺氧是高山症主因,冬天是高危險季節
我們在過去兩三年的研究發現冬季登山時,血壓及心血管負擔會顯著增加,隨著海拔高度氧氣變成稀薄時,血氧濃度明顯降低。在冬季時,而心臟輸出量竟然會增加25%,即使只是到海拔2,500-2,750公尺高。這種登山活動在台灣是非常常見的,從低海拔的平地到2,500-3,500公尺的中高海拔的高山森林遊樂區去旅行,在台灣是一般人的一日或二日遊行程,但是己到達會發生高山症的高度(8,000英呎),這是常被忽略的危險。
由中高海拔的心血管效應研究,發現對心血管系統的效應已經是非常顯著。這個海拔高度也是許多國外滑雪勝地,例如美國Colorado Rocky Mountain滑雪場,就落在2,500-3,500公尺的中高海拔範圍,也是許多人一日或二日遊的行程,很值得好好的做研究,以預防高山症及急性心肺疾病發生。
「熱量、營養、和補氣食物」在登高山時,是非常重要的,這是登山從事森林旅遊活動中特別要注意的,否則很容易生病。冬天是一個危險季節,尤其是寒冬高海拔的登山活動,更是高風險。
總而言之,我們在冬至季節登山至塔塔加的研究觀測,發現在從低海拔到高海拔的登山過程,主要是面對寒冷天氣、氣壓低、及顯著缺氧,所以心臟的適應是增加血壓、心跳及心搏輸出量,增加心臟工作量來彌足全身的缺氧需求。我們也發現若能在登山過程作短暫停留,可以緩衝心臟血管的過度負荷,可以明顯減輕其心臟血管之不良效應。記得要補足熱量與營養,禦寒的衣物與設備,都是不可或缺。到森林環境休閒享受森林浴,有其促進健康的正面效應,然而除了休閒享受,我們須注意寒冷及高海拔對心臟血管之影響。
本站聲明:網站內容來源於https://www.lifetoutiao.news/editors/%e5%a4%9a%e5%85%83%e8%a7%80%e9%bb%9e/,如有侵權,請聯繫我們
【精選推薦文章】
※佛具宗教文物600坪清幽寬敞的參購空間
※佛像客製化服務,可接受各種尺寸與款式需求。
※神桌、神明桌、佛具、佛像、訂做與整修專家
※桃園佛具店,專營佛教百貨用品佛具批發零售
※要找桃園龜山附近的有實體門市經營的佛具用品專賣店!
※神桌的尺寸是不是都有固定的一個吉祥尺寸呢?